日本では小児の発達の問題が深刻であるということで、保険診療でも乳幼児から取り組んでいこうと変化してきています。歯科ではお口ポカンがわかりやすい問題ですが。むし歯や歯並びどころではなく嚥下や呼吸にまで悪影響が及びますので、お口ポカンにならないことがいかに大切かを知っていただき、ご両親に正しい知識をお伝えしたいと思っています
幸い保険診療で扱うできるようになりましたので、多くのお子様が早期に取り組んでいただければかなり予防できるはずで、矯正治療が必要なお子様も激減すると思っています
どうぞ、ご理解をいただき日本の子供を良い方向に変えていきましょう
本院も全力でフォローさせていただきたいと思います
呼吸に影響が出ると書きましたが、乳幼児でも無呼吸の子供が多くなっているのです
水は大切と言われますが、それ以上に酸素ほど大切なものはありません。水を飲まなくても1週間ほどは生きられますが、酸素は10分呼吸できなかったら死んでしまいます。子供がそれほど大切な酸素を不足した状態でいれば心肺機能不全になり健やかな成長は望めません。そのことを是非知っていただきたいのです
その症状は
いびきをかく
歯ぎしりする
夜中に何度も起きる
朝なかなか起きれない
日中に眠たそう
生あくびが多い
疲れやすい
睡眠中に呼吸が止まる
上向きで寝ることができずに、横向きやうつぶせ寝ばかり
このような症状があれば無呼吸症候群になっている可能性があります
なっていなくても予備軍である可能性は高いです
例えば小学校低学年児なら
歯列が狭くて歯が並んでいない
かみ合わせが深くて、下の前歯が見えない
前歯上下が合わず隙間がある
舌が歯の隙間に入り込む
口唇がカサカサで、特に下唇が厚ぼったい
クチャ食べになっている
姿勢が悪い
落ち着きがない
などのことが多いです
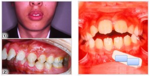
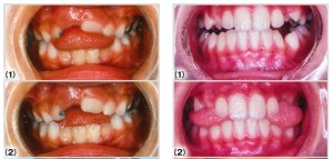
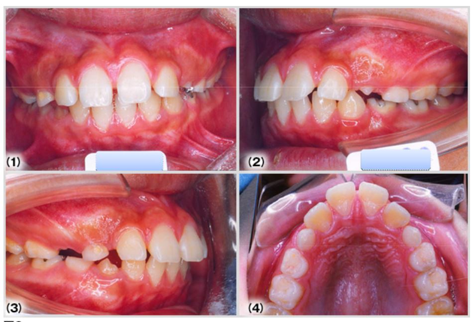
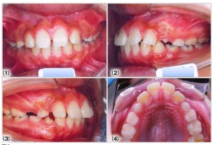
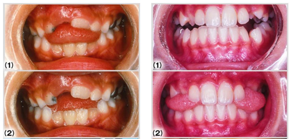
以下に紹介する写真は、矯正治療が必要なってしまった状態ですが、上顎骨を発達させるのはなかなか難しいので、乳幼児のときからならないようにもっていくことが大切です
←クリックすると大きくなります

上記3点の写真はすべて日本歯科医師会のHPより抜粋
1才違いの姉妹ですが、特に鼻から下の顔の違いがはっきりしてきました
その理由は
歯科医師の多くは口呼吸か鼻呼吸かの違いによるものであると考えています
私はその最大のポイントは舌にあると考えています
2点の写真は鈴木設矢著「床矯正・矯正治療の手引き」より
大雑把に言えば
左の女子は上顎骨の発達と下顎骨の前方移動
右の男子は上顎骨の発達
により顔貌が良くなっています
上顎骨が発達すると鼻が高くなる、目が大きくなるといわれています。ただ、発達が遅れた上顎骨を正常に戻すのは簡単ではありませんので、ならないようにすることが一番です
睡眠時のお子様をよく観察してください
上を向き、お口を閉じて、お鼻でスースー寝息が聞こえればベストです
上向き寝になるように小さい時から少しづつ躾けるようにしてください
こんな些細なことですが、これができるだけで一生の宝になりますので、ぜひ身に着けるようにご指導をお願いします
歯科的には、むし歯、歯周病、歯列不正になりにくいので、一生いい歯で過ごせる可能性が高くなります
体全体で一例を挙げれば、万病の元といわれる風邪を引きにくい丈夫な体になり、健やかに暮らせる可能位が高くなります
乳児では次のチェックリストがあります
歯がないのに意外と思われるかもしれませんが、実はお子様のお口の発達はマイナス1歳から気をつけていただくことが大切なのです
本院では妊婦健歯のときにお伝えしておりますが、できれば生後すぐから赤ちゃんをお連れいただくようにお伝えしております
最初のチェックリストは歯が生える前の赤ちゃんが対象です


口だけではありません
全国ストップ・ザ・ロコモ協議会委員長の林承弘医師は以下のように、子供の体がおかしくなっていると警鐘を鳴らしております

あなたのお子様はできますか?
今の子供の問題は社会的環境が大きく関わっており、口を治すのも歯科医師だけでは手に負えないおこもが多くなってきています。子どもロコモも同じですね。
つまり小学校出るまでは勉強よりもしなくていけない大切なことがたくさんあり、それを疎かにしたツケが回ってきていると私は感じています。こう言うのは簡単ですが、少しづつ改善していかないと大変なことになると危惧しております
参考
子どもロコモ
https://sloc.or.jp/?page_id=167
最初のビデオを御覧ください
https://www.dental-plaza.com/article/pediatrics/
https://ttrda.jp/wp-content/uploads/2016/10/6194ca0d09b6a824f1c2749498c3e11c.pdf
赤ちゃんゼロヶ月で歯科に来て! 口腔機能発達不全症