ホワイトニングは歯を削らずに白くできます
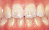
術前 |
術後 |
ホワイトニングには医院内でするオフィスホワイトニングと、ご自宅でしていただくホームホワイトニングがあります。河田歯科医院ではホームホワイトニングを第一選択にします。
そして治療結果が不足の場合、補助的にオフィスホワイトニングを併用します
本院がホームホワイトニングをおすすめする主な理由
1 費用が安い
2 時間が多少かかるがより白くなり、後戻りも少ない
3 歯がしみにくい
ホワイトニングの副作用はあまりないのですが、一番の副作用はホワイトニング中に歯がしみやすくなることです。しかし、皮肉なことですが、しみるほうが歯 が白くなりやすいです。
他には、歯の白いところほど白く変化するので、ホワイトニング前にあまり目立たなかった表面の色のむらが気になるようになることが あります。
ただ、歯自体は白くなっていますので、ぱっと見には綺麗に見えるはずです。
白くなる度合いは人によって違うので、予測は難しいのですが、若い方ほど白くなりやすいという文献があります。ただ本院で60代の方でも良い結果を得られ た事例もありますので、正直やってみないとわからないというのが本当のところです。
また、ホワイトニングの薬剤はどんどん進化していまして、結果に期待してもらっても大丈夫でしょう。
ホームホワイトニングの費用は片顎10,000円です(およそ3週間分の薬剤付)
通常は1~3ヶ月で終わりますので、追加の薬代をいれて
片顎が総額15,000円以内で収まります
ただし、薬剤の使用量は少ないですが、後戻り対策が必要なこともあります
まず上顎のみしていただき、ご納得後に下顎もしていただくとよいでしょう
下の参考リンクより詳細な情報が得られます