あなたの綺麗なスマイルを応援します (^^)
3Mダイレクトクラウン
年末に大阪へ研修に行って来ました
今までありそうでなかった半既製のハイブリットクラウンです
半既製でチェアサイドでできるので
口の中の条件が整っていたら、即日治療も可能です。しかも安価です
ですので、3Mダイレクトクラウンは2014年にかなりブレイクすると思っています
河田歯科医院でも、銀歯は嫌だけどフルジルコニアやEmaxは高価で
手が出ないと考えられる方にぜひおすすめしたいと思っています
奥歯の審美治療を最安値で提供できますので
日本人の口の中から銀歯を無くすのにかなり貢献すると思います
どうして豊かな国の日本人が口の中が銀歯だらけなのかと
不思議に思われていることを、殆どの日本人は知らないのです
WELDENZ ウェルデンツ
今夏、同窓会の研修でウェルデンツの説明を受け
興味を持ったので連絡を取り詳しい資料をもらいました
ただ当初は自費診療のみということでしたので
どうやって河田歯科医院で取り扱うか迷っていました
ところが11月にNHKでウェルデンツが紹介されましたら
患者様よりたくさんに照会のメールや電話がありまして
患者様の強い要望でウェルデンツを作成することになりました
こんなことは初めてで、改めてNHKの影響力を再確認しました
ウェルデンツの特徴はウェルデンツのHPに以下のようにあります
1 無菌性樹脂素材のため、洗浄剤をほとんど必要としません
2 アレルギーの原因にならないので安心です
3 薄くて軽くて丈夫です
4 審美性に優れています
5装着感に優れています
6長期使用においても臭いません
7お口の中が広く清潔になります
8優しい素材のため天然歯を痛めません
9とても経済的です
10金属は一切使用しないので安全です
この中で私が特に良いと思うのは6の臭いがつかないという点です
義歯タイプの場合ウェルデンツ以外でもよく似た物はあるのですが
臭いがつかない、つまり吸水性がないのはウェルデンツだけと思います
ですので、義歯の材料としてウェルデンツはかなり可能性のある素材と思います
写真はスマイルデンチャーが変色しフィットが甘くなったので
ウェルデンツで再製作したもので、床付きの義歯タイプです
ただ、まだ臨床応用が始まったばかりですので注意は必要だと思います
欠点は磨り減りやすいので摩耗に対するメインテナンスが必要です
耐久性は今後の経過を見る必要があると思います
少数歯欠損でブリッジの代わりに使うのも
隣の歯を削って被せるよりは遥かに良いと思います
症例によってはインプラントの代わりにもなりますし
また、インプラントの上の被せに使うのも良いかもしれません
ただ普通の歯の上に被せるのは、他にも良い材料があるので
私はそれほどすすまないような気がしますが、とにかく今後が楽しみです
久しぶりに好きな曲をアップします。カレンもお気に入りの曲だったそうです
私は歌詞をあまり重視しないのですが、この歌詞はなぜか好きです
Caepenters i need to be in love (青春の輝き)
新しいオフィスホワイトニングの研修に行ってきました
6/1に大阪に行ってきました
新しいオフィスホワイトニングで今までより白くなると聞き参加しました
会場は JR大阪駅から北西に歩いて約10分ほどの所にある
スカイタワー(梅田スカイビル)でした
地下一階には滝見小路という昭和初期の大阪を復元したレトロなお店が並んでいます
肝心のオフィスホワイトニングの研修は実習が主体で相互実習を繰り返しました
私もやってもらいましたが少し白くなったと思います
残念ながら私が一番白くなりませんでした
その理由は年齢です。やはり若い方が白くなりました
今までオフィスホワイトニングは積極的にやっていませんでしたが
これなら採用しても良いかなと思いました
オリンパスの色を測る特殊な機械で分析しました
この分析結果は私ではないですが、やはり黄色身が取れて
白く見えるようになると出ています
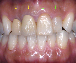
セラエステの症例 オールセラミックスクラウン
歯の色が気になるので上の前歯4本を治すことになりました
4本とも神経をかなり前に取ってある歯です
右上2本(黄色↓)は銀合金の土台の上にメタルボンドをかぶせてありますので歯根が変色しており、そのために歯肉がやや暗く見えます
左上2本(緑色↓)は歯の裏にプラスチックが詰めてありました
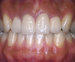
治療前 治療後


かなり自然に見えますが、セット後間もないのでまだ歯肉は落ち着いていません
左上2番は少し引っ込んで暗く見えていたので、少し前に出しました
セラエステは少し白めにしてあり、他の歯をホワイトニングして合わせます
オールセラミックは金属を使わないので、メタルボンドよりも色はきれいです
価格は一般的にはメタルボンドより少し高価な製品です
セラエステはかぶせるだけでなく、詰めものにも応用できます
院長ブログのカテゴリー
最近の投稿
- ママとこどものはいしゃさん
- 「すずらんカフェ」で認知症予防のお話をさせていただきました
- 乳幼児のアレルギーを減らす情報
- 歯科医師2名体制になりました
- 県知事表彰
- 赤ちゃん歯科と発達障害
- 休診のお知らせ_新型コロナウイルス
- 忘年会 2021/12/24
- かみかみ百歳体操
- 鼻詰まりの子の大半は口腔機能発達不全も併発
- あなたのお子さんは徳川将軍 何代目?
- 7ヶ月の赤ちゃん来院 口腔機能発達不全症
- 出生後72時間、母乳で足りない時はアミノ酸ミルク
- 赤ちゃんゼロヶ月で歯科に来て! 口腔機能発達不全症
- 口腔機能発達不全症 子供の口も体もおかしい
- 歯がないのに赤ちゃん歯科って?
- 6月の診療のお知らせ コロナウイルス
- 2020/05/03 FBにアップしました
- 5月以降の診療のお知らせ コロナウイルス
- 年末年始休診のお知らせ
- 第3回TPCセミナー/東京
- 10年ぶりの沖縄
- 歯科衛生士って?
- 京都でTPC(舌姿勢補正器)の話をしてきました
- 歯科衛生士が産休&育休明けから復帰 (^^)
- TPC東京セミナーを開催しました
- 削らないで真っ白に! スーパーエナメル
- 超短縮の院内旅行 2018.11.28
- 大阪でTPCセミナーを開催しました
- 原因不明の口腔顔面痛 三環系抗うつ薬 / SNRI
- TPCアンケート 他医院11症例
- 歯科衛生士の補充できました
- TPCの講演に名古屋に行ってきました
- 低位舌を治すTPC(舌姿勢補正器)を活用した歯科治療
- 歯科衛生士 1名募集しております
- インプラント研修に行ってきました
- TRP (Tongue Right Positioner) vs TPC
- TPCアンケート/TCH,ドライマウス,小顔201801
- 三原でも弁当の日
- 院内旅行 2017/12 ディズニー&チャイナタウン
アーカイブ
- 2025年10月 (1)
- 2023年8月 (1)
- 2023年3月 (3)
- 2022年10月 (1)
- 2022年8月 (1)
- 2021年12月 (1)
- 2021年6月 (1)
- 2021年5月 (2)
- 2021年4月 (1)
- 2021年2月 (2)
- 2020年9月 (1)
- 2020年7月 (1)
- 2020年5月 (2)
- 2020年4月 (1)
- 2019年12月 (3)
- 2019年7月 (1)
- 2019年6月 (2)
- 2019年1月 (1)
- 2018年12月 (1)
- 2018年11月 (3)
- 2018年8月 (1)
- 2018年7月 (1)
- 2018年6月 (1)
- 2018年5月 (2)
- 2018年4月 (1)
- 2018年2月 (1)
- 2018年1月 (1)
- 2017年12月 (2)
- 2017年8月 (2)
- 2017年6月 (1)
- 2017年5月 (2)
- 2017年4月 (1)
- 2017年3月 (1)
- 2017年2月 (1)
- 2017年1月 (1)
- 2016年11月 (2)
- 2016年10月 (1)
- 2016年9月 (3)
- 2016年8月 (1)
- 2016年7月 (3)
- 2016年2月 (1)
- 2016年1月 (2)
- 2015年10月 (1)
- 2015年8月 (1)
- 2015年6月 (1)
- 2015年5月 (1)
- 2015年4月 (1)
- 2015年1月 (1)
- 2014年12月 (1)
- 2014年11月 (4)
- 2014年8月 (1)
- 2014年1月 (1)
- 2013年12月 (1)
- 2013年11月 (1)
- 2013年9月 (2)
- 2013年6月 (1)
- 2013年1月 (1)
- 2012年12月 (5)
- 2012年10月 (1)
- 2012年9月 (1)
- 2012年7月 (3)
- 2012年2月 (2)
- 2012年1月 (2)
- 2011年10月 (1)
- 2011年5月 (1)
- 2011年4月 (1)
- 2011年3月 (1)
- 2010年12月 (3)
- 2010年10月 (1)
- 2010年7月 (3)
- 2010年6月 (1)
- 2010年5月 (1)
- 2010年4月 (2)
- 2010年3月 (2)
- 2010年1月 (2)
- 2009年12月 (2)
- 2009年11月 (2)
- 2009年9月 (1)
- 2009年8月 (2)
- 2009年7月 (4)
- 2009年6月 (3)
- 2009年4月 (2)
- 2009年2月 (1)
- 2009年1月 (1)
- 2008年11月 (3)
- 2008年9月 (3)
- 2008年8月 (2)
- 2008年7月 (14)
- 2008年6月 (9)
- 2008年5月 (6)
- 2008年4月 (4)
- 2008年3月 (2)
- 2008年2月 (2)
- 2008年1月 (11)
- 2007年12月 (1)





