このページは患者様向けというよりも、歯科医師向けの内容ですが
患者様にも舌の重要性を少しでもご理解いただければと思います
参加資格がありますがFBグループ(低位舌を治すTPCを活用した歯科治療)にご参加ください
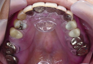
TPC(舌姿勢補正器 Tongue Posture Corrector) は
私の長年の顎関節症治療のエッセンスから生まれました
こんな単純な装置で治るのか?と疑問に思われるのは当然です
私自身も最初は信じられませんでしたから
記憶が定かで無いのですが
2011年か2012年にふとアイディアが降りてきました
それから自分の口で試行錯誤を繰り返しまして
ようやく確信が得られましたので
2013年より少しづつ患者さんに使いはじめました
そして予想以上の成果が得られ、症例も増えましたので
新しい治療法を確立できたのではと思いました
2年後の2015年には同業の評価を受けたくなり
第54回広島県歯科医学会で発表しました
噛み合わせに関わらないシンプル&ミニマムな装置で
できるだけ自然な口内状態を保ちつながら
低位にある舌を正しい姿勢に導くことにより
口腔及び頭頸部のバランスを改善して
多くの症状を改善する新しい治療法
といささか大言壮語ですが、問わせていただきました
TPCで低位舌を是正することにより
難しい症例を簡単症例にしてから治療していただき
よりシンプルな治療で済ませていただきたいです
患者さんにも喜んでいただけると思います


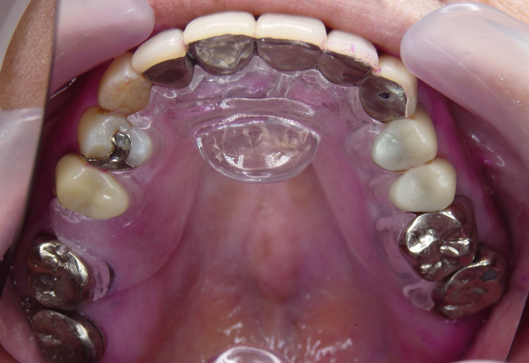
↑ わかりやすくするために色を塗っています ↑
私の先代メインTPC (即時重合レジンで直接法で作成)


(2019/4/1追加) 最近のTPC 突起が長くなってきました
透明だと探す時に困るという訴えで義歯用加熱重合レジンで作ったもの
顎関節症を治すために低位舌を改善する装置ですが
顎関節症だけでなく低位舌によって引き起こされる多くの疾患にも有効です
ですので、ぜひ多くの歯科医師にお試しいただければ幸いに思います
不明な点はご質問をお願いいたします
とりあえず、詳しくは 最下部にある(TPCのブログ一覧 )をご覧ください
いずれはブログ内容をまとめて公開する予定です
TPCの特徴は
- 咬合面を覆わないので自由に噛めて、すごく装着感が良く使ってもらいやすい
- 装着しても外観は変わらない、但し「さしすせそ」が発音しにくい
- 噛みしめ&歯軋り と いびき&口呼吸 相反する症状が同時に改善する
TCH(顎関節症)からはじめましたが、ドライマウス、いびき、お口ポカンなど応用範囲を拡げております。使ってもらう優先順位は
1就寝時 2仕事中&勉強中 3その他 (話すことの多い仕事では使えません)
起きている時にセットすれば殆ど無意識に舌が所定の位置につきますが、就寝時が一番所定の位置につきにくいので、起きている時にセットして舌に所定の位置を覚えておいてもらう必要があります。起きている時に仕込みをして、本番の就寝時に備えるわけです
以下は2015年第54回広島県歯科医学会で発表した口演内容ですので、クリックして御覧ください
第54回広島県歯科医学会pptx
TPC(舌姿勢補正器 Tongue Posture Corrector) を臨床応用して4年目(2014年現在)になり100症例近くになりました。当然、治療効果や限界も見えてきまして、より効率的な応用法を知りたいので、現在も試行錯誤を繰り返しております
さらにお口ポカン対策の子供用TPCは始めたばかりで10件足らずです
TPCの患者アンケートまで漕ぎつけた77件をエクセルで集計しましたので、ご高覧いただけると幸いです
——————————————————
↓ 下の文字をクリックすると集計表が開きます
アンケート集計表 (エクセル)
アンケート内容は以下を参考にして下さい
YNはセット前「はい」、セット後は「いいえ」です。「?」は「わからない」です
他もほぼ同様に解釈して下さい (アンケート用紙原稿はここから落とせます)
2016/7/27加筆
TPCの突起部について質問されたので説明します
とは言っても超簡単なんですが・・・
下の歯に全く当たらない位置と高さに設定するだけです
できるだけ切歯乳頭付近で、下顎前歯に当たらない位置から
できるだけ後下方に伸ばして7ミリ以上の長さになれば完璧です
7ミリ以下でもダメではありません。できるだけ長くでけっこうです
バイトが深い人、後方運動距離の長い人の場合は長さも形態も制約されますが
仕方ないので制約された中形態を決めます
守るべきは絶対に下顎歯に当たらないことです
難しく考えることはないです
まず作ってみて、問題があれば口腔内で削除、添加すればいいですから・・・
ただ、最後に舌に好かれるよう研磨はしっかりして下さい
もっと詳しい作成法は下にある「TPCの作り方」をご覧下さい
2018/5/4 加筆
このたび義歯床用アクリリック樹脂(加熱重合レジン)を用いて義歯と同じく埋没法で作るように変更しました
外形などは全く変更ありませんので、ワックスアップしてから石膏で埋没します
割り出し以降は変わりません
技工作業をシンプルにするために色付けはせず透明です
作業模型を割らずに割り出した方が後の調整は楽です
TPC関連のブログ一覧 ↑ 本文
TPC(舌姿勢補正器)でTCH治療 1
TPC(舌姿勢補正器)でTCH治療 2
TPC(舌姿勢補正器)でTCH治療 3 セット方法
TPC(舌姿勢補正器)でTCH治療 4 患者アンケート
TPC(舌姿勢補正器)でTCH治療 5 患者アンケート2 (8ケース)
TPC(舌姿勢補正器)でTCH治療6 患者アンケート3(7ケース)
TPC(舌姿勢補正器)でTCH治療7 患者アンケート4 (12ケース)
TPC(舌姿勢補正器)でTCH治療8 患者アンケート5 (6ケース)
広島県歯科医学会にて、TPC(舌姿勢補正器)を発表
学校検診_お口ポカン、口呼吸、間違ったゴックン
子供用TPC_お口ポカン対策
子供用TPC_お口ポカン対策2
いびき TPC(舌姿勢補正器 Tongue Posture Corrector)
TCH TPC(舌姿勢補正器 Tongue Posture Corrector)
歯ぎしり、いびき、夜中にトイレに行く回数が減る
写真でTPCの突起部について説明
TPCの作り方
TPCの勉強会
爆音いびきが治った
TPCのバージョンアップ法
いびき 閉塞性睡眠時無呼吸症候群(OSA)
いびき、ドライマウスが改善 TPC患者アンケート
TPCアンケート/TCH,ドライマウス,小顔201801
TRP (Tongue Right Positioner) vs TPC
TPCの講演に名古屋に行ってきました
TPCアンケート 他医院11症例
患者アンケート総計PDF 149件
患者アンケート総計エクセル 149件
FACEBOOKの医院ページもご覧ください(FACEBOOK未登録でも閲覧可能)
舌に関連する情報も多くご紹介しています
いいね していただけたら \(^o^)/

