河田歯科医院院は歯を長持ちさせるには予防(PMTC)が一番大切と考えていますが、
不幸にして 初めて歯を失ったらインプラントをお勧めします
他の歯を一番長持ちさせる方法だからです
抜けた歯の道連れを作らないことが歯を長持ちさせるコツです
8020も夢ではありません
ただし、自分の歯とまったく同等の性能ではありません
あくまでも自分の歯の代わりをかなりしてくれるものだとお考えください
けっして魔法の治療法ではございません
でも
患者さんに優しいインプラントって何でしょうか?
2010年頃の私の答えはHAインプラントでした
今は、長年 HAインプラントをメインに使ってきましたが、近年もっといいインプラントが出てきたためほぼ切り替えました。理由は難症例にも何とかできると評価されてきたHAインプラントでさえ対応が難しい症例においてもかなり対応でき、さらに低侵襲で治療終了までの日数が短くできるので、患者様と医院双方がWinWinになれる画期的なコンセプトのインプラントです

本院が採用した最新のインプラントはメガジェン社のもので、採用の理由は新しいコンセプトのエクストラワイド&ショートタイプのインプラントなら臼歯部の骨が少なくなっている場合でも、なんとかインプラントをいれることができるからです
HAインプラントで提唱されてきた4Sのキャッチフレーズですが、第5世代と言われるエクストラワイド&ショートインプラントでは4Sがもっと高い次元にグレードアップしたと感じています
short 短期間治療
simple シンプル
small 最小限
safe 安全
まとめれば、
骨が少ない難症例でも骨を作るオペをしないのでより小さな手術ですみ、痛みが少ない、費用が少ない、手術回数が少ない、手術のリスクが少ない、人工骨の使用料が少ない、治療期間が短いなどです。
その決め手が 最新のインプラント と CT(コンピュータ断層撮影)です
シンプル(simple)は決して簡単(Easy)ではありません。その逆です
複雑なことをシンプルにするには多くのテクノロジーや工夫が必要です
最新のインプラントの多くの優れた性質とCTの圧倒的な情報量がシンプルな術式を支えてくれます
本院は歯を失った時には、まず義歯をおすすめしていましたが
方針を変更して条件がクリアできる場合は、インプラントをおすすめすることにしました
特に欠損歯が少ない場合はお勧めします。事実、自分の口にもそうしました
私のポリシーは自分ならびに家族にする治療を患者様にもお勧めすることです
もちろん自費になることもあるので、無理強いはしませんがご説明はさせていただきます
1. 抜歯と同時にインプラントを入れることができますので手術回数が減ります
普通はダメになった歯を抜いて、落ちつくのを2~6ヶ月待ってからインプラント手術をしますが、抜いた所が治るのを待つ間に、骨がやせてインプラントが入れにくくなる事が多いです
もしもそうなると、さらにGBR手術(5~10万円ほどの手術料)という骨を作る手術をして、また、骨ができるのを6~12ヶ月待ってやっとインプラントを入れることができるのです
つまりインプラントによる歯が入って噛めるようになるまで1年以上かかってしまいます
ですから抜歯と同時にインプラントを入れられるということは、時間、コスト、手術のつらさを軽減できるシンプルな術式であり患者様にすばらしい恩恵があります
2. 骨が少ないためにインプラントが簡単に入れられない時でも、最新のインプラントならば入れることが可能かもしれません
1と少し重複するところもありますが、特に上の奥歯は骨が薄い場合が多くてインプラントを入れにくいのです
そんな時にインプラント手術時にソケットリフトという処置(処置料3万円)を追加しますが、その処置がエクストラワイド&ショートインプラントを使うと不要になりより比較的シンプルな術式になります
もちろんCT画像を利用してより安全に手術します
骨が無ければ、インプラントを入れる意思があっても入れられないことは珍しくありません
3. 術式がシンプルなため大げさな手術になりにくく、痛みが少ないことが多い
ただし、シンプルといっても簡単(easy)とは全く違います。
シンプルにするには的確な検査診断が必要です
そのために本院ではCT撮影を基本的に行い、より正確で安全なインプラント手術を目指しております
4. 治療期間が今までのインプラントよりも短いことが多い
条件の良い抜歯即時インプラントの場合、手術後3ヶ月以内に被せものが入ります
最高の条件ですと手術直後に仮の歯を入れることができます
特に難しいものでも1年以内には終わります
インプラント治療は歯科では一番の高額治療ですが、残っている自分の歯を犠牲にしないので、結局自分の歯が長持ちします
それらを長期的&総合的に考慮すると歯を失った時に検討すべき価値のある治療法であります
インプラントの治療はいろんな機材の組み合わせがあるために費用が複雑に加算され
その内訳を患者様がご理解しにくいことが多いです
ですから、できるだけシンプルでわかりやすい料金体系にしたつもりです
それでも、ご不明の点がございましたら、ご遠慮なくご質問くださいませ
なを、CT撮影料&診断料は費用に含まれいます
インプラントは短期的に考えると、非常に高額であると感じられると思いますが
負担能力の高さのため、よく噛めますし、健全歯の寿命を伸ばすので
長期的に考えますと、総合的にはリーズナブルと評価できると思っております
インプラントの費用(税込)
1歯につき28.6万円 (インプラント本体と手術料)
冠の代金は別になります
既成の標準土台に冠をセメント仮着することが減り、近年は既成のチタン土台と削り出したジルコニアとを組み合わせて作ったものをインプラント本体にネジ固定するなど冠作成の工程が複雑になったことと、高度なテクニックが加わってきたため1本あたりの総額が35~38万円くらいになることが多いです
※土台とはインプラントと被せる冠をつなぐものです
専門用語ではアバットメントと称されます
主な追加料金は
| ソケットリフト(骨の高さを増やす) |
3.3万円 |
| ルートメンブレイン(歯根の一部を残す) |
2.2万円
|
| 抜歯即時オペ(人工骨代は含みません |
1.1万円 |
| 人工骨(1歯につき) |
1.1万円 |
などです。
但し、人工骨の使用量が多い場合は追加料金が発生します
より安全な最新のインプラント治療を追求するのために最新の歯科用CTを導入しました
CT撮影料&診断料はインプラント患者様に限り無料です
オペ中、経過観察の撮影も無料です
すべての症例にCTを活用したいと思っております
他院からの依頼撮影の場合は別途料金をいただきます
安全で痛みがより少ないシンプルなインプラント手術には欠かせません
CTの検査結果はコンピュータ画面で説明しますので
ビジュアルでわかりやすくご納得していただけると思います
より詳しい説明はこの HP1 HP2 をご覧ください
私のHAインプラントの恩師である林先生のHPです
ご覧いただくとHAインプラントの素晴しさが、もっと理解できると思います
私は林先生のようにはできませんが、三原でも高いレベルのインプラントを提供できるよう少しでも近づきたいと精進しております
よろしくお願いします
もうひとつ 参考になるインプラントサイト をご紹介します
あとビデオで詳しく説明しているサイト(10分位)があります
河田歯科医院で使われているインプラントのメーカーは
HAタイプは スプライン インプラントシステム MP1 (通称 カルシテック)
白鵬(販売業者)
スタンダードタイプは プラトンインプラント プラトンジャパン(販売業者)
現在作成中ですので、不備はご容赦ください
歯科用CTではなく医科用CTのデータをOsirixで解析したものです
患者様に積極的にHAインプラントをお勧めすることにしましたが、自分も体験すべきと思い、義歯に不満は無かったのですが、自分もHAインプラントを入れることにしました
せっかくの体験ですので患者様の視点で報告します。
裏の理由は個人情報保護法の関係で、患者様の症例を公表するのが難しくなりましたので、代わりに私自身の症例をご紹介します(これなら問題は無い)
こちらもご覧ください 1 2 3 4

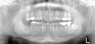
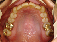
術前の口腔内です

術前のレントゲンです。右下7番欠損です

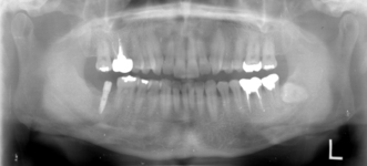
HAインプラントが入りました

術前のCT画像です(3D)。骨の状態を立体的に把握できます

術前のCT画像(2D)で、この画像をメインに使って分析します

インプラントを入れる場所に〇を合わせます

横からの方向を決めます

インプラントの長さを測定します。2.243cmと出ていまして骨がものすごくあるケースです
〇は骨の硬さを調べています。CTで骨の硬さをある程度測定できます
上は1568で骨がすごく硬いといえます
下は479で内部としては硬いところといえます