TPC(Tongue Posture Corrector 舌姿勢補正器)を使って
子供のお口ポカンを改善し不正咬合の芽を摘もうと目論んでいます
ただ、子供の場合アンダーカットが少ないことが多く
大人と比べてTPCが安定しないので少し難しいです
結局、床矯正装置とあまり変わらないデザインになったケースもあり
正直もっといいアイディアが浮かんでこないかと思っています
咬合面を覆わず咬合に全く干渉しないデザインで自由に噛めるのが
大きなセールスポイントなのでなるべくワイヤーを使いたくなのですが・・・
逆に床矯正装置の追加アイテムとして、切歯乳頭部に突起物を作れば
TPC機能付き床矯正装置になりまして、少しだけ作ったことがあります
口蓋を覆う面積が広いので舌にはマイナスと思いますけど
舌接触補助床と考えたら意味があるのかもしれません
成人用TPCはアンケートをもらうまで辿り着いた症例が60件を超えて
ほぼ試しつくし、黎明期は終わった気がしていますが
子供用TPCはまだ始めたばかりで、いろいろ試せて面白いです
他の装置との優位点は
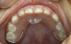
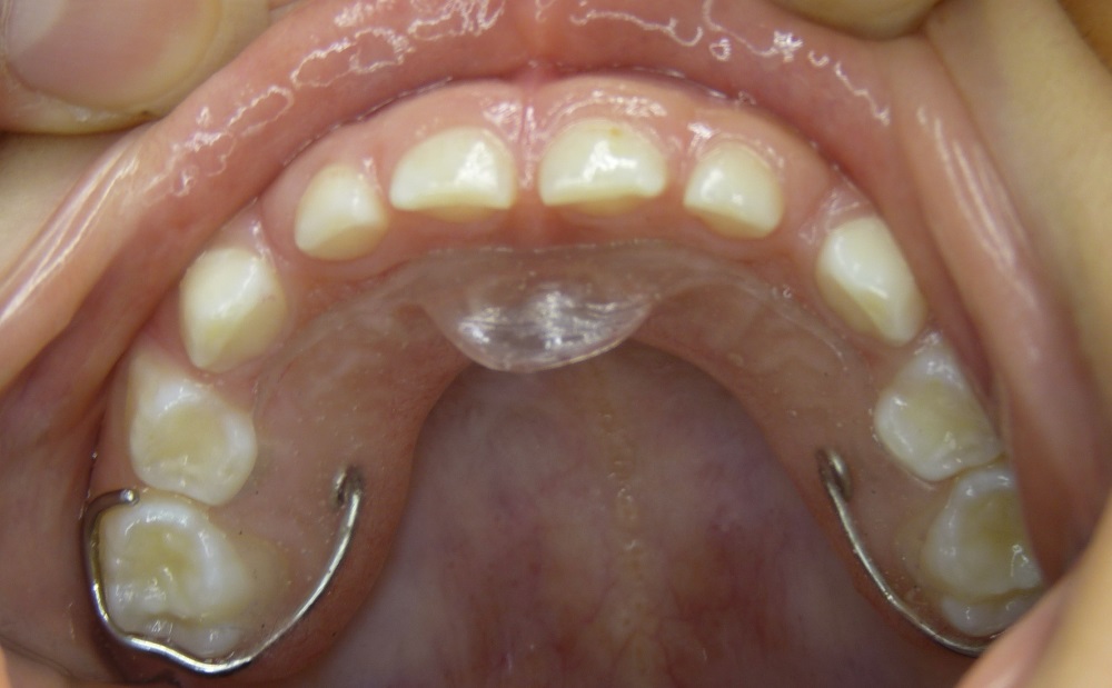
第一号患者です。4才男
TPCセット前
TPCセット直後

TPCをセットすると、すぐに効果が出ているのがわかります
但しこの装置は安定性が悪くて3つ作ることになりました
歯牙にアンダーカットがほとんどがなかったので
単純鈎は粘膜に刺さってしまうのが怖かったですが単純鈎を付与しました
しかし、それでもすぐ外れてしまうとクレームが付き試行錯誤しました

左から単純鈎の1号、ボールクラスプの2号、ボール&アダムスクラスプ&拡大ネジの3号
大人と違って維持力の問題、顎成長の阻害リスクなどがあるので、なかなか難しいのですが
お口ポカンを改善して得られるメリットが優ると思い試しています
お家にいる時にず~っと使っていただきたいですね
寝る時は口テープも貼った方が良いです
症例3

T4Kと併用です
ここから下は工事中です m(_ _)m





