吾妻山 広島県庄原市比和町

 

お盆休みに吾妻山にドライブに行きました
長男が中学生の時に行って以来ですので、10年以上行ってませんでした

朝から久しぶりの好天でしたが、やはり来て良かったと思いました

 

F1000105.JPG

 

風がひんやりと心地良く、草の香りもいい感じ

 

F1000111.JPG

 

夏らしい入道雲が休暇村の建物の赤い屋根に映えて綺麗でした

今日は牛がいませんでした

お風呂に入って帰ろうと思いましたが
天気予報では明日も天気が良いというので
夕焼けまで待つことにしました
ただ、雲は少しありました

 

F1000122.JPG

 

なかなか夕焼けにならないので、今日はダメかと思ったら
最後に雲が一気に赤くなりました

 

F1000128.JPG

 

渋めの夕焼けですが、これはこれで綺麗で、待った甲斐がありました

 

 

 

 

歯科インプラントQ&A(9)

Q
CT検査は必要ですか?

A
河 田歯科医院ではCT検査を全症例に撮ろうと思っていますが、絶対に必要かといわれると困るるところもあります。非常に簡単な症例ではなくてもできるでしょうし、CTがインプラントに使われるようになるまでは、当然CT画像なしでオペが行われてきたわけです。現在はより確実に、安全にとCTを利用するようになってきている過渡期ですので、CT利用に関してはいろんな考え方が存在します。河田歯科医院のように医科でCT撮影を依頼して、受け取ったデータを分析する歯科医院と、歯科用CT(コンビームCT)を購入して撮影&分析する歯科医院があります。もちろん自医院に設置してあるほうが良いのですが、
歯科医院としては極めて高額ですので、残念ながら未だ河田歯科医院では導入できていません。

Q 
上顎前歯のインプラントは見た目を回復するのが難しいと聞きましたが・・・

A

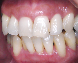
はい、前歯の付け根から歯肉の部分の見た目を回復するのはなかなか難しいです。そのためにいろんなテクニックが開発されていますが、手術回数、期間、費用など患者様の負担が多くなります。そんな状況ですが、手術法やアバットメント(インプラント体につなぐ被せの土台にあたる部分)などの工夫により比較的に簡単に見た目を回復できる方法があり、河田歯科医院では積極的に採用しております。

 下の写真でインプラントはどれでしょうか?

骨が薄いので歯肉の安定が得られにくい症例です
歯科医ならすぐわかりますが、患者様だとわからないかもしれません

22implant.jpg