私の歯科インプラント(4)写真b 怖がりの人は見ないでね

前回の続きです。インプラントを入れたのが11月下旬でした
インプラントが少し安定するのが、条件が良くて順調ですと6~8週間後です。
私の場合、6週間でやろうと思っていましたが、忙しくて遅れてしまい、8週間後でした

2次オペを歯科衛生士にしてもらいました。経過が順調ならばそれほど簡単ということです。
 

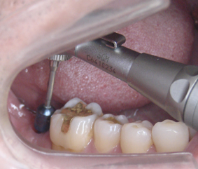
DSC01671.JPG

前回につけたインプラントの
青いキャップを外します

前回にキャップをつけないで
歯肉で覆い被せた場合は
麻酔をして歯肉に穴開けします
痛いというほどではないです

DSC01672.JPG

インプラントが歯肉の中に見えます
今回は麻酔の注射はしていません
写真の見える歯肉のくぼみに綿球で
表面麻酔を塗りました

骨ができ過ぎていたりすると
麻酔の注射が必要になることもありますが
痛いというほどのことはありません

DSC01674.JPG

このインプラントにネジで上部構造を固定します
既製品ではなく、カスタムメイドで上部構造を作る方法もありますが、今回は既製品を使ってみることにしました
本当はもう少し太いタイプを使うほうが良いと思います

DSC01677.JPG

ねじ込んでいるところです

DSC01680.JPG上部構造が固定されました
今回はこれで終わります
しばらく歯肉が落ち着くのを待ちます
その後この上に被せて終わりです
 

 

私の歯科インプラント(3)写真a 怖がりの人は見ないでね

私のインプラントのオペ写真です。
さすがに自分ではできないので、友人の歯科医にお願いしました。
 

DSC01256.JPG

術前です
右下の一番奥に埋め込みます

DSC01260.JPG

痛そうですが麻酔していますから大丈夫です
歯肉を少し剥がしました
条件が良くて歯肉を剥がさずにできれば
術後の痛みはほとんど痛くありません

DSC01266.JPGドリルで骨に穴を開けます
これも痛そうですが大丈夫です
歯肉よりも骨のほうが痛みが感じにくいようです

ただ、削るときに振動がありますので
こっちのほうが気になります

DSC01268.JPGインプラントを埋め込みました

DSC01272.JPG青いキャップに交換して少し縫いました

これで今日は終わりです

 

私の歯科インプラント治療 (2)

 

HAインプラントを埋入して8週目に入りました。骨の条件は良いので、そろそろインプラントの上に土台を継ぎ足して、冠をかぶせる直前の状態にしようと思います。本当は昨日やってもらおうと思いましたが、時間が無くて残念でした。

術後の経過は、ほとんど痛みも無くまったく順調でした。同時期にHAインプラントを入れた患者様は1週間ほど歯肉が少し痛んだようです。その違いはおそらく私が鈍感だから(笑)もありますが、たぶん歯肉の剥離の量の違いです。骨の状態の関係で私の方が少なくて済みました。

やはり無剥離が一番痛みが無くて、剥離が多くなるほど痛みが出るようです。できるだけ剥離を少なくしようと思いますが、林先生のようにはいかないのが残念です。もう少しスキルアップを目指さないといけません。

土台を継ぎ足したらすぐに、ジルコニアの冠を作って仮付けしたいと思っています。個人的には大臼歯部にセラミックは好きではないのですが、ジルコニアの性能を試してみたいのです。夢のセラミックといわれるジルコニアですが、残念ながら、私はまだ患者様にセットしたことが無いのです。もっとも出てまだ新しいので仕方ないのですが、最も高額でもあるので、いつ患者様がしていただけるのかもわかりません。ですから自分を実験台というか、まあ遊んでみようというわけです。

特に試したいのが、他のセラミック冠では絶対禁忌である仮付けをしたいのです。本当に仮付けが可能か自分で試してみたいです。これができたら、たぶん患者様に自信を持ってお勧めするでしょうね。カタログにあるように、本当に割れないのかな?まだちょっと信じられません。もっとも大臼歯部のセラミックを患者様にはお勧めしませんが・・・

 

 

 

歯科インプラントQ&A (2)

Q インプラントをした後はメインテナンスが必要と聞きましたが、これも費用が高いのでしょうか?

A
インプラントを意識する必要はありません。ご自身の歯と歯肉のために2~3月ごとにPMTC(歯のクリーニング)をお受けになられることをお勧めします。これで十分です。費用もインプラントがあるからといって高くはなりません。通常と同じく保険診療です。

Q インプラントを埋め込んでから、冠が入って噛めるようになるにはどれほどの期間がかかりますか?

A 
治療期間は骨の状態や抜歯即時埋入かどうかで左右されますが、下顎の場合は通常2~3ヶ月位、上顎の場合は2.5~3ヶ月位で歯を装着することができます。ただし、抜歯即時埋入やサイナスリフト法を使った場合は、上記期間にプラス1~2ヶ月となります。本院が採用しているHAインプラントは治療期間を短めにできる優れたものです。

ホームページのリニューアル

昨年末より河田歯科医院HPを大幅に刷新中です。
と言っても自分でしているので、時間がないので完成はいつになるかめどが立ちません。

考えてみると、10年ほど前にマックのワープロでHTMLをすべて手入力して作ってから
4回目の大更新になります。マックのHP作成ソフト(名前は失念)ができた時は
すごい省力化になりうれしかった。その後ホームページビルダーを使うために
Windowsに代えてずいぶんになります。

今回はMovableTypeというソフトで作っていますが、これが私には難しい!
ホームページビルダーのお手軽さが私にはちょうどいいかもしれません。
ブログタイプの特徴を生かしたいためのソフト変更ですが
生かしきれるかが今後の課題です。

HPの方はいろいろ不具合や工事中がありますので、ご容赦ください。

歯科衛生士が退職しました

一昨日は歯科衛生士の送別会だった。

有能な歯科衛生士だったので歯科医院としてはとても残念だが、彼女の幸福を祝うしかない。
小さな町のため、結婚するといつも当地を離れるため、続けて勤務してもらったことが一度もない。
本院で経験を積んだ大切な歯科衛生士が残ってくれないのは真に残念だ。

幸い、新卒の歯科衛生士が4月から勤務してくれることになっているので
患者様へのサービス低下も短期間で済みそうで助かった。

しかし、歯科衛生士の需給関係は完全に逼迫していて、
何年も補充できていない歯科医院もかなり多く、診療にも影響が出てきている。
おかげさまで、本院は歯科衛生士に関しては開業以来かなり運が良く、ありがたいと思っています。

予防歯科を基礎とした、最新の歯科治療をめざすと
歯科衛生士の存在は極めて重く、田舎町にしては珍しく
多くの歯科衛生士に勤務してもらってきました。
その歴史があるので、歯科衛生士が逼迫した近年でも
割と円滑に補充、増員ができてきました。

4月からは新卒の歯科衛生士の教育が必要なので
私もその準備のために、勉強し直さないといけません

https://eiseishi.cwn.jp/

歯科インプラントQ&A (1)

不定期でインプラントのQ&A を書いていくことにしました

Q インプラントって骨に穴を開けて入れるそうですが、安全性は大丈夫でしょうか?

A
インプラントを入れること自体は特に問題は起きていないようです。一番問題になるのは下の奥歯にインプラントを入れる手術時に神経や血管が入っている管(下顎管)を損傷することです。それを防ぐために、普通の平面的なレントゲンだけでなく、立体的に把握できるCTの利用が望まれます。CTを使っても完全とは言えませんが、安全性がかなりアップするのは確かですので、全症例にCTを使うようにしたいと思っています。

Q インプラントをするメリットは何でしょうか?

A 
私が一番のメリットと思うのは、1本歯が抜けた時に、代わりにインプラントをすぐ入れるケースです。普通は両隣の歯に負担を強いることになり、結果的に両隣の歯の寿命を短くしてしまいます。インプラントだと負担を強いないので、1本の歯を失っても、歯列全体への悪影響が少なく対応できます。このことが歯列全体が長持ちすると思います。患者様的には取り外しの義歯にならざるを得ない場合でも、義歯の代わりに対応できることがメリットに感じられると思います。

私も歯科インプラント治療を受けてみました

昨年の11月下旬に、私も右下第二大臼歯部にHAインプラントを埋めました。
10年ほど前から小さな義歯を使っていて、私は不自由はなかったのですが、患者様に新しいHAインプラントを積極的に勧めるようになったので、患者様の立場を体験すべきと思い手術を受けました。

市内の友人に手術していただきましたが、順調に経過していまして、今月中には被せまで入れる予定です。
今資料を整理中で、準備ができましたら説明用にアップする予定です。近頃は個人情報保護法の関係でいろいろな資料の提示が難しくなりましたので、絶対に問題のでない自分の症例でご説明しようと思っています。

手術中に麻酔が浅くなりましたが、あえてそのまま手術を続けてもらいました。痛みがどれほどと体験したかったためですが、さすがにインプラントをねじ込む時は痛みが強かったです。痛かったですが、どんなものかよくわかってよかったです。絶対に麻酔を追加すべきだとわかりました(当たり前ですが・・・)

術後も抗生物質は飲みましたが、痛み止めは飲まずに実験しました。ただ思いの外、痛みが少なくて拍子抜けしました。粘膜の剥離が少なめだったからだと思いますが、症例によっては剥離が大きくなると痛みが出やすいようです。

骨を削って穴を開けると聞くと、すごく痛そうですが、骨というものは意外と痛みは感じないようですね。文献にもそう書いてありますが、私の体験でもそのようだと思いました。

口演&研修 2005年&2006年(まとめて)

2006年12月2日(土)に都ホテル大阪にて第4回ほんだ歯科口臭外来提携クリニック総会に出席しました

提携クリニックも150件ほどになり、大変大きな総会になりました。
1回目の総会と比べると、こんなに大きくなったんだと感心しました。

DSC007461.jpg

 

 

2006年10月24日(火)にサンシープラザにて三原市保健福祉部保健福祉課主催で
 特定高齢者介護予防事業従事者、予防給付サービス提供事業所従事者、居宅介護支援事業所介護支援専門員
 の方々を対象に講演させていただきました

演題は「口腔機能向上の取り組みについて」で口腔機能向上プログラムの実際 要支援レベルの高齢者が自分でしようとする口腔ケア指導と通所での健口体操等集団指導の実際をおよそ80人の参加者にお話させていただきました

DSC007382.jpg

 

 
 

DSC007391.jpg

時間がたっぷりあると思って話しをしましたが実習を交えてしたので、実際は時間が足らなくなってしまい、
最後は急いで話をすることになってしまいました。
出席していただいた方々には、わかりにくくなって申し訳なかったです。

 

2005年11月17日(木)にサンシープラザにて
基幹型在宅介護支援センターみはら 主催でケアネージャーを対象に講演させていただきました

演題は「口腔ケア」でおよそ50人の参加者にお話させていただきました

 

care.jpg

 

 

ケアマネージャーの方々が聴講者でしたのでちょっと専門的なことも話させてもらいました

私も一応ケアマネージャーなんですが、ペーパーケアマネージャーの私とは違い
皆さん熱心で、さすがに実務をされておられる方々だと思いました

2005年7月28日(木)に三原市医師会病院西館にて三原市医師会在宅介護支援センター主催で
第2回介護予防教室の講師をつめさせていただきました

演題は「ためになるお口の話」でおよそ60人の参加者にお話させていただきました。

kouen.jpg

 

 

 

 

 

 

 

 

医師会病院に近いので、往診の依頼があり医師会病院に出向くのと、
私がケアマネージャーでもあるためにたまに歯科のことを話させてもらっています

2005年3月6日(日)に岡山ワシントンプラザにて
ほんだ歯科提携クリニック中四国ブロック研修会を開催しました

ほんだ先生をお迎えして、会員が全員発表しました
私はブロック長として、開会の挨拶をした後に私の口臭治療45症例の分析を発表しました。

20050306.jpg

 

 
 

10時より17時過ぎまでハードな研修会でしたが
関東、東海、近畿、九州からもゲスト参加者があり有意義な研修会でした。
 

HAタイプの歯科インプラントはすばらしいです

河田歯科医院(広島県三原市)は昨年よりHAインプラントを主たるインプラントに変更しました。

その理由は通常のチタンインプラントに比べて、多くの優れた性質を持つからです。

 

簡単に言えば、インプラントの周りに骨ができやすいのです。

このことにより、簡単な手術で済ませられたり、手術回数を減らしたり、治療期間を短縮できます。

当然、治療費も節約できます。 

 

西洋人と比べて、日本人は顎の骨が薄くて、骨ができにくいと言われています。

ですので、条件が悪くてイージーケースが少ないのです。

そのために、条件を良くするために骨を増やすような準備のための手術が

必要になり、その手術の治癒を待ってから、やっとインプラントを埋める手術が

できるようになります。

結果、インプラント1~3本を埋めるのに1年ほどかかってしまうことも珍しくありません。

 

そこでHAインプラントを選ぶ価値が出てきます。

全顎的なインプラントでは本数が多いので、1年ほどかかることもありますが、

一番多いインプラント1~3本くらいを埋めるケースなら2~5ヶ月で終わるのが普通です。