My インビザライン アプリの 「インビザライン スマイルビュー」 を使って、笑顔シミュレーションしましょう!
装置が見えないマウスピース矯正のトップブランド、基本的には2週間(専用器具を使うと1週間になることもあります)サイクルてステップにあったマウスピースを次々と入れ替えていき、歯並びを治していくシステムです
他人には矯正しているように見えませんし、食事や歯磨きの時はマウスピースを外しますので普通の矯正よりも楽です
ただしマウスピースを確実に22時間/日セットする必要がありますので、この点は厳守していただく必要があります
小児 36万円~ / 成人 63万円~ 税別(以下全ての金額は消費税を含みません)
最新の口腔内スキャナーである デジタル印象採得装置(iTeroエレメント5Dプラス) を導入して、スキャニングして歯の型採りをしております
1) 楽チンなのに精度の高い歯型取り
より快適、スピーディー、安全、正確、予測性の高いマウスピース矯正治療が可能になりました
特に歯型を取る時、従来のドロドロした粘土のような材料を使わないので、型取りで気持ち悪くなることがありません
スキャナーの照射時間は短いうえ、1回の型取りで全てのマウスピースができあがるため、従来のような苦しい歯型取りのストレスから解放されます
2) Net活用でマウスピースが素早くお渡しできます
従来の型取り方法の場合
取った歯型そのものを海外に送り、届いた歯型からデータを起こしますので、最初の治療プラン作成を始めるまでにかなりの日数を要していました
iTeroエレメント5Dプラスを使用した場合
スキャンデータをアライン・テクノロジー社にすぐにNet経由で送信するため、素早く最初の治療プラン作成を始められ、結果的にマウスピースが素早くお渡しできます
途中で治療計画が変更になった場合もスピーディに再作成できるためタイムロスが少ないです
3) 当日におおよその仕上がりをお見せできます
スキャン後すぐに治療前の歯並びが、治療後どのようになるのかをおおよそのシュミレーション画像で見ていただくことができます
それにより、インビザライン治療に対するご理解が増しご不安が減ると思われます
インビザライン・システムに関する情報はクリックしてご覧ください
来院しなくても治療の進みぐあいをスマホで医院に伝えることができます
通常のブラケットによる矯正治療もしております
他にもいろいろな治療に対応しておりますので、ご来院時に説明させていただきます
河田歯科医院では小さい時から始めると良いと考えています
その訳は
小さい時から始めると、歯並びだけでなく顔を治すことができるからです
美容整形みたいですが、考え方によっては美容整形よりも効果があります
正しい機能をできるようにしてあげると
正しい機能は正しい形態を作ってくれます
顔の骨格、唇の形など自然な美しい形になっていきます
意外と思われるかもしれませんが、目や鼻の形にも良い影響があります
というのも顔の変形を引き起こす最大の要素は噛みあわせだからです
それに
永久歯を間引くことも殆どしなくて済みます(例外は親知らず)
そして
悪い歯並びを放置するとその逆の結果になります
子供は成長するわけですから、正しい方向に誘導してやらないといけません
歯を動かすだけなら、何才からできます。70,80才になっても矯正は可能です
拡大機能付き床矯正
治療費は1つ目の装置を含めて10万円
2つ目の装置からは各4万円、修理代は3千円~1万円です
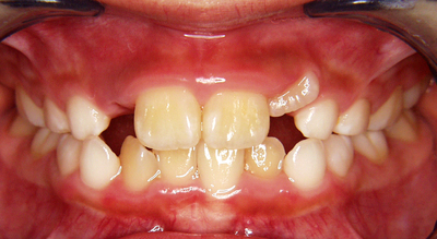
床矯正の症例です
![]()
2000.7 もうすぐ6才になるところです
一見きれいな歯並びですが、5才ですと悪い歯並びと言えます
もしもこの子が3才なら良い歯並びと言えます
その意味がわかりますか?
その訳は、6才には前の乳歯は抜けて永久歯が生えます
乳歯が抜けたあとに永久歯がきれいに生えることができますか?
永久歯は乳歯よりも大きな歯ですよ
6才児の歯並びは「すきっ歯」が良い歯並びなんです
そうなっていないと、生え変わるとスペース不足になります
案の定、スペースが足りませんね
ですから、理想的には2年前に矯正を始めた方がいいです
その方がきれいに治せます
ただ、あの時点で矯正を始めるケースは少ないです
こうなることを知っているお母さんは稀でしょうから
ただ、一人目のお子さんでこの経験されたお母さんはわかります
でも、これくらいなら遅くはないですし、一番多いスタート時期です
それでこんな装置を作って治療をします
この装置はおうちでご両親に拡げていただきます
ビニールのチューブも噛んでいただく必要があります
医院は装置を作り、使い方を教え、経過を観察しアドバイスや修理するというだけで
ご両親とお子様が自主的に治すのです
そのために、医院での治療時間は短くすみ、低価格で矯正が受けられるのです
通常の矯正の1/2~1/4の費用で済みます
ただし、この装置の限界もあり、治りきらないこともよくあります
それでも、歯並びはかなり改善しますので、やらないよりはぜんぜん違います
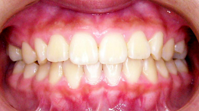
このお子さんはまじめに治療してくれたので良い結果になりました
あと、床装置だけで治せることができると
ブラケットを付けないために、歯の表面がキレイです
ブラケットを付けると、どうしても歯の表面の艶が無くなってしまいます
ですから、装置をしっかり使ってもらって、ブラケットなしで終わりたいのです
2007.3
作った装置は上下一個づつでした。もちろん修理はしています
平均して装置は2~3個のことが多いです
正直もっと作りたいのですが、費用のこともあるので多少我慢して使うことが多いです
歯科矯正学的に言えば、まだ不足のこともかなりありますが
患者様の立場から見たら、ここまで治ったら充分と思います
この状態から、さらに良くしようと普通の矯正に移行して
床矯正で支払った総額より多くの費用を支払おうとは、おそらく思われないでしょう
もちろん、装置を入れないとここまで治りません
ご両親とお子様の共同作業に殆ど依存しています
まじめにやってくれたら、70%のお子さんはここまでくると思っています
マウスピースによる機能的矯正で、お子様の生活習慣を変えないといけないのでかなりハードルは高いですが、親子でがんばっていただけると、最も安価でしかも最も良い結果が得られる治療法です
幼稚園児、小学生にオススメで、機能的に正しい歯並びや顔貌を作ります
歯並びの乱れは悪習慣が主因で、正しい習慣を身につけさせることがポイント 睡眠態癖と舌の位置を特に重視しています
理想は 上を向いて、口を閉じて、お鼻でスースー寝息が聞こえる ようになることです
乳児の時から少しづつ上向き寝になるように育てましょう
1 寝る時の T4K を続けていただきます。 S-sleep(枕)併用をおすすめする場合があります
2 家にいる時になるべく長い時間T4Kを口に入れて
グニュグニュ噛んでから、舌背を口蓋に押し付けるようにして
溜まった唾液をゴックンと飲むことを繰り返す
3 口で息をせず鼻で呼吸する(舌をいつも上に上げる)
4 寝る時に口にテープを貼る
特徴
1 上を向いて寝るように寝相の修正ができなければ歯並びは治りません
2 治すのは親子ご自身で、医院はチェック&アドバイスします
3 歯並びが完全に治るとは限りませんが、機能的に正しい方向に導きます
4 歯並びだけでなく、顔が立体的になる(鼻が高く目が大きくなると報告あり)
5 4才から8才くらいがこの治療を始める最良の時期です
6 機能的に正しいため後戻りが少なく、最も優れた矯正法と評価しています
7 スペースのす速が大きなお子様には向かないので床装置を選択します
治療費(税別)
7万円(枕S-sleepは含まず)
最初にご家庭での自己治療法を説明します
あとはご家庭で毎日真面目に親子でがんばって治していただく治療です
年に2~6回ほどむし歯の検診に来ていただき、同時にチェック&助言します
マウスピースは治療の進み具合に合わせて2個目以降は1万円になります
マウスピース紛失の場合は実費をいただきます(7千~1万円)
スペース不足が深刻はケースはT4Kではなく床装置を使います
プレオルソ
これもマウスピース機能矯正法で、症状によりT4Kと同じように使います

