以前はチンキャプという顎をゴムで押し込む治療法がありましたが、今はほとんどされなくなってしまい、幼児の反対咬合は前歯の生え変わりまで放置されることが多くなっていました。もっといえば第二次成長が終わるまで待ってからという、私には信じられない対応もあります
近年ムーシールドやその類似装置が広まってきて、3才~5才に応用されることが増えてきました。河田歯科医院でもムーシールドを幼児に使っています。とにかく口に入れてもらうことが出来れば、かなりの確率で受け口が改善するようです。お子さんの性格にかなり依存しますが、ポイントは一晩中装置を口に入れてもらえるようになるまで、忍耐強く褒め続ける事が大切なようです。この時期にうまく矯正できれば治療費もかなり安価ですみますので、親子で頑張って治していただきたいです
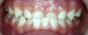
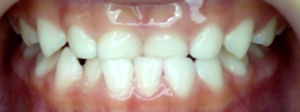
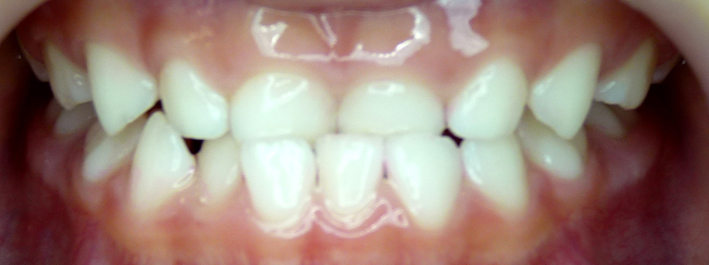
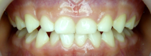
下の写真は4才のお子様で術前、ムーシールドセット後5ヶ月後、9ヶ月後です
もう少し続ける予定で、おそらくもっと良くなるはずです。殆どのお子様はこうなれば受け口に関してはもう大丈夫で、早期治療のメリットを享受できます。ただ後戻りが起きることも珍しくなく、特に背が伸びる第二次成長期に下顎の成長が一気に進むことがあるので経過観察は必要です
次の問題はスペース不足です。永久歯がスムースに並ぶように、6才頃の生え変わりまでに前歯間に隙間が必要ですので、前歯でよく噛んでいただきたいですね。そのためにはなるべく食品を小さく切らず、大きなまま子供に与えるようにして下さい
オジー・オズボーンのボーカルが懐かしいです
ブラック・サバス(Black Sabbath) パラノイド








